IMPORTANT: As of 8:00 AM on September 3, Temple University Hospital – Main Campus (Broad and Ontario Streets) will no longer provide Labor and Delivery services. All childbirth services will be relocated to our new hospital location.

800-TEMPLE-MED Schedule Appointment
SEARCH TEMPLE HEALTH

Temple Researchers Discover Understudied Immune Factors May Be Missing Link in Immune Disease

View All News

To do its job, the human immune system depends on a protein known as interleukin-1 (IL-1), which coordinates immune responses. Research increasingly suggests that other immune proteins also have important supporting roles in immune function, though, compared to IL-1, relatively little is known about these molecules.

Now, researchers at the Lewis Katz School of Medicine at Temple University (LKSOM) are helping to fill gaps in the understanding of these supporting molecules, thanks to their study of a lesser-known trio of immune proteins known as interleukin-36 (IL-36). In a recent study published in the journal Nature Communications, the researchers show for the first time how IL-36 boosts immune function specifically against infection by herpes simplex virus-1 (HSV-1). The findings open the door to the development of improved therapeutic strategies against HSV-1, a virus that is transmitted orally and is a common cause of cold sores and fever blisters in the mouth.

“The mechanism [we] identified could be utilized to enhance antiviral responses in children with atopic dermatitis and in HIV-positive patients who experience severe or frequent reactivation of HSV-1,” said Liselotte E. Jensen, PhD, Associate Professor in the Department of Microbiology and Immunology at LKSOM, senior investigator on the new study. These advances could extend to other immune diseases to which IL-36 has been linked, particularly diseases such as psoriasis and lupus.

The new work further highlights the critical role that IL-36 serves in orchestrating and boosting antiviral immune responses. Among the team's key findings is that IL-36 renders another immune molecule, known as type I interferon (IFN) – which frequently is suppressed by invading viruses – more potent during HSV-1 infection, enabling IFN to more effectively fight off the virus.

IL-1 and IL-36 are types of cytokines, short-lived proteins that function as intercellular messengers, being released by one cell to regulate the activities of another cell. In recent years, the three IL-36 cytokines – IL-36α, IL-36β, and IL-36γ, which are part of the IL-1 superfamily – have been increasingly implicated in immune regulation and in bolstering immune responses, though how they exert their effects was unknown.

According to Dr. Jensen, “IL-36 is among the most understudied groups of cytokines.” Her research team is one of only about 10 in the United States whose work focuses on these particular proteins. In previous work, her team found that IL-36β plays a significant role in immunity against HSV-1 skin infection. They did not realize until now, however, that IL-36β, as well as IL-36α and IL-36γ, influence immunity by acting on IFN.

“The IL-36 proteins are just one group of many other understudied cytokines in the IL-1 superfamily,” Dr. Jensen added. “We hope that our new findings raise awareness of these supporting cytokines and their importance to immune function.”

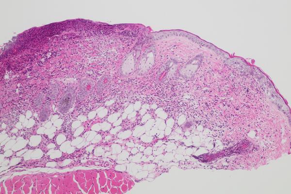
Image description: During active disease, herpes simplex virus (HSV) replication in skin epithelial cells (keratinocytes) causes cytopathic effects. The keratinocytes release cytokines that promote recruitment of immune cells, killing of infected cells, and viral restriction. The image shows a cross section of mouse skin stained with hematoxylin and eosin revealing these different stages of HSV infection.